贵阳市第一人民医院消化内科在专家指导下成功开展超声内镜引导下胃底静脉曲张精准栓塞术

为充分发挥国家消化系统疾病临床研究中心贵阳分中心的区域引领作用,在贵阳市第一人民医院消化内科,一场与“死神”的赛跑紧张进行。2025年10月24日,对于深受肝硬化并发胃底静脉曲张破裂出血困扰的患者吴某某(男性,57岁)而言,是重获新生的一天。在首都医科大学附属北京友谊医院长期驻点贵阳市第一人民医院的王俊雄教授的亲临指导下,该院消化内科周晓倩主任团队成功完成了首例“超声内镜引导下胃底静脉曲张弹簧圈联合组织胶注射术”。这项国内领先的硬核内镜技术成功应用,标志着贵阳市第一人民医院在门脉高压并发症的微创诊疗领域取得了突破性进展,迈入了“精准介入”的新时代。
病情凶险!患者生命悬于一线
患者吴先生患有“乙肝后肝硬化”多年,此次因“再发黑便1天”紧急入院。这已是他短期内的第二次消化道大出血。此前,他已接受过一次内镜下治疗,但效果不佳,病情反复如同体内埋藏着一颗“不定时炸弹”——粗大的胃底静脉曲张随时可能破裂,导致致命性大出血。面对如此棘手的病例,传统的治疗方法存在视野局限、注射盲目等风险,可能导致栓塞不彻底或异位栓塞等严重并发症。如何精准、安全、彻底地“拆除”这颗炸弹,是对医疗团队技术的极大考验。


专家引领,实现技术突破
关键时刻,正在贵阳市第一人民医院执行帮扶任务的首都医科大学附属北京友谊医院消化内科专家王俊雄教授与该院消化内科周晓倩主任团队进行了深入的病例讨论。王教授指出,对于此类高危、复杂的胃底静脉曲张,超声内镜引导下的精准治疗是目前最优的解决方案。
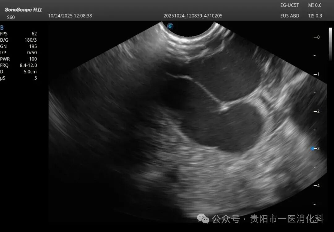
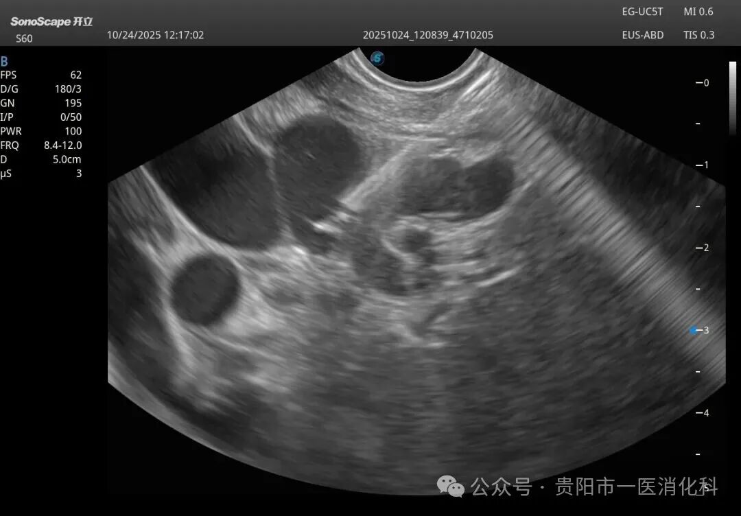
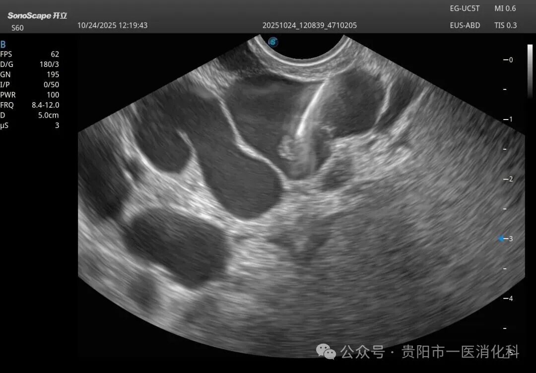
术中


在王俊雄教授的全程指导下,手术如期进行。术中,专家团队首先将超声内镜送达胃底,屏幕上立即清晰显示出曲张静脉的横断面、深度、血流以及其来源血管。在超声的“火眼金睛”引导下,穿刺针犹如被安装了“GPS导航”,精准刺入目标血管。随后,医生们先将数个微弹簧圈送入血管内,构建一个坚实的“巢”,再注入医用组织胶水。弹簧圈与组织胶迅速结合,形成稳固的复合栓塞物,彻底封堵了致命的曲张静脉。整个手术过程流畅,术后患者生命体征平稳,安返病房。
术后


技术解读:为何这项技术是“硬核”突破?
贵阳市第一人民医院消化内科主任周晓倩介绍,与传统“盲打”相比,这项新技术具有革命性优势:
1.精准可视:超声内镜让医生拥有了“透视眼”,能清晰看到血管的立体结构,实现指哪打哪,极大提高了成功率。
2.安全稳固:先放弹簧圈再注胶,形成了“钢筋+混凝土”般的稳固结构,既避免了胶水被血流冲走导致异位栓塞的风险,又显著降低了术后再出血率。
3.疗效持久:这种复合栓塞物更为坚固,血管再通率极低,能为肝硬化的长期综合治疗赢得宝贵时间。
造福黔中,守护健康
此次新技术的成功开展,是贵阳市第一人民医院深化“筑巢引凤”人才战略、积极对接国内顶尖医疗资源的又一硕果。王俊雄教授的倾力指导,不仅成功救治了一位危重患者,更为消化内科带来了一场前沿技术的“现场教学”,极大提升了贵阳市第一人民医院应对复杂门脉高压疾病的技术实力。未来,贵阳市第一人民医院消化内科将继续秉持“人民至上,生命至上”的原则,不断引进和开展新技术,让贵州百姓在家门口就能享受到与国内顶级医院同质化的先进医疗服务,为健康贵州建设贡献更大力量!
消化内科
贵阳市第一人民医院消化内科是国家消化系统疾病临床医学研究中心贵阳分中心,国家消化系统疾病临床医学研究中心早癌筛查基地,省级重点学科。科室配备先进的消化内镜中心和专业的医疗团队,长期与首都医科大学附属北京友谊医院保持紧密合作,开展内镜下贲门缩窄术、ESD、POEM等多项微创技术。在胃食管反流病、消化道早癌、胆胰疾病等领域的诊断和治疗水平达到国内先进水平,致力于让贵州百姓在家门口就能享受到优质、精准的国家级诊疗服务。

