毫米级的操作精度 实现“微创”与“根治”的双重目标
大健康事业部 | 2025-12-18 16:29

2025年12月,贵州省人民医院肝胆外科二部迎来一场高难度手术挑战——为61岁的张女士,在“毫米级”的狭小空间,成功实施肝脏全尾叶+右后叶微创切除术。

手术中,医生团队在狭小的操作空间内,凭借毫米级的操作精度,小心翼翼分离粘连组织,精准避开关键血管与胆管,成功完整切除病变组织,全程出血极少,实现了“微创”与“根治”的双重目标。这台高难度微创手术的成功,不仅刷新了贵州省内复杂肝脏占位微创治疗的技术高度,也再次印证了省医在肝胆外科领域攻坚克难的硬实力。
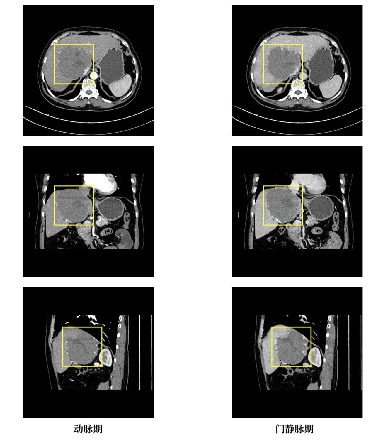
医生介绍,来自毕节市的张女士,经检查发现肝右叶-左内叶及尾状叶存在巨大海绵状血管瘤,此病变累及肝右叶-左内叶及尾状叶区域,毗邻肝脏重要血管,对周围胆管已形成压迫侵犯,解剖关系错综复杂,手术中稍有不慎便可能引发大出血、血管损伤等致命风险。因该手术因病变位置刁钻、解剖结构复杂,被业内视为肝脏外科微创领域的“硬骨头”。面对这一棘手情况,省医肝胆外科二部迅速组建多学科诊疗小组,反复研讨患者的影像学资料与身体指标,精准规划手术路径,最终敲定腹腔镜微创治疗方案。
术后张女士恢复顺利,各项生命体征平稳。

