动静医生 | 左下腹痛竟是阑尾炎?贵阳市二医精准救治罕见“镜面人”

2026-02-03 12:40

近日,一位中老年女性因“左下腹持续疼痛”前往贵阳市第二人民医院(金阳医院)急诊就医。令人惊讶的是,经过检查,她患的竟是通常发生在右下腹的“急性阑尾炎”。原来,该患者是一名极为罕见的“镜面人”(全内脏反位),所有内脏器官与正常人呈左右对称分布。医院胃肠外科团队凭借丰富经验和精准判断,迅速明确诊断并成功实施手术,患者现已康复出院。

疼痛出现在“错误”位置,罕见体质成诊断关键

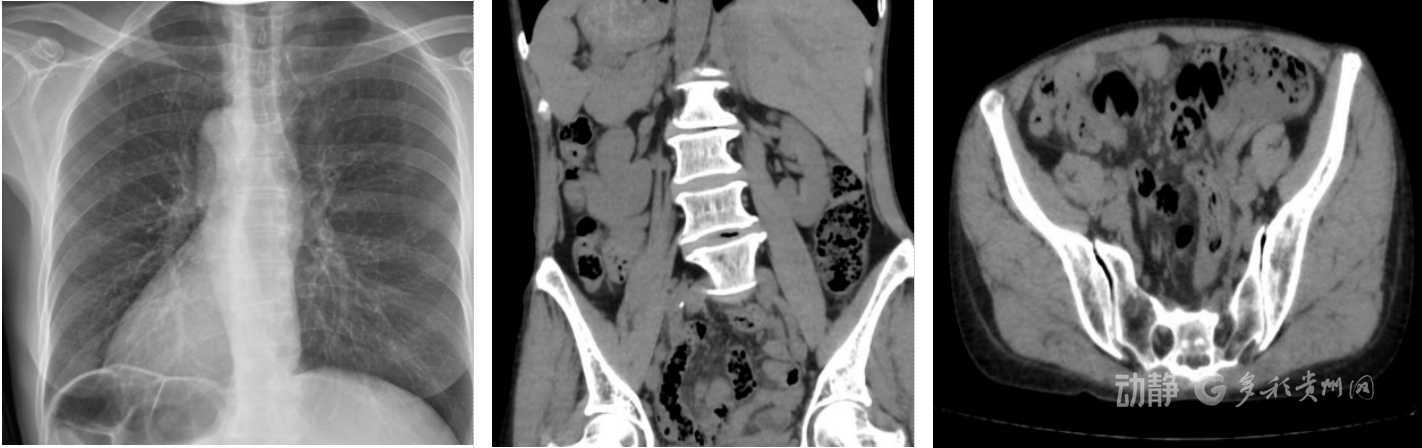
据了解,该患者起初感到上腹部隐痛,之后疼痛转移并固定于左下腹,且持续加重。接诊医生查体发现,其左下腹有明显压痛和反跳痛,虽症状类似阑尾炎,但阑尾通常位于右侧。这一矛盾引起了医生的高度警惕。经询问得知,患者曾被告知是“镜面人”。紧急CT检查证实,其心脏、肝脏、脾脏、胃肠道等全部内脏位置反位,左下腹可见发炎肿大的阑尾,最终确诊为急性阑尾炎。

何为“镜面人”?

全内脏反位是一种先天性解剖变异,发生率仅约几万分之一。这类患者的内脏位置与正常人呈镜像对称,如同照镜子,因此俗称“镜面人”。虽然多数不影响日常生活,但在患病时,症状往往出现在非常规位置,极易造成误诊,延误治疗可导致阑尾穿孔、腹腔感染等严重后果。

腹腔镜手术“逆向”操作,团队协作化解风险

面对这一特殊病例,金阳医院胃肠外科团队迅速响应,在完善术前准备后,为患者施行急诊腹腔镜阑尾切除术。手术团队在镜下面临的是完全反位的解剖结构,凭借精湛技术和扎实的解剖知识,精准定位位于左下腹的阑尾并顺利切除。术后患者恢复良好,感染指标很快恢复正常。

医生提醒:异常腹痛应及早就医,特殊病史主动告知

本例的成功救治,凸显了详细询问病史和全面鉴别诊断的重要性。贵阳市第二人民医院(金阳医院)胃肠外科专家提醒:若腹痛呈现转移性、持续性加重,尤其是疼痛位置与常见疾病不符时,务必及时就医。对于已知自身是“镜面人”或存在其他特殊体质的患者,就医时应主动告知医生这一情况,为准确诊断提供关键线索。